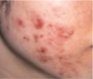
津田クリニックのニキビ治療は患者様お一人お一人の症状に合わせて手技・手法を変えて
「ニキビ跡を残さない」を信条としたオリジナルの治療法です。
治療のスピードが格段に違う症状の重症度と個人差はありますが、多くの症例で結果を出しています。
抗生物質の内服や外用薬を中止、
ニキビ以外の肌悩みも改善+色が白くなる +毛穴が整う +赤ら顔が改善する +赤ら顔が改善する etc...
オリジナルレーザー照射
研究室で作製するオリジナルの治療薬液を塗布しながら行う、
津田クリニックの独自の照射方法で治療。
治療機種は症状によって使い分けをし、結果の出る治療を目指しています。

オリジナルスキンケア療法の併用
副作用の心配をせず、長期使用可能なオリジナルのスキンケアを併用することで相乗効果をもたらし、
メンテナンス治療をすることが可能になります。















| 施術内容 | 治療費(税込) | |
|---|---|---|
| ケミカルピーリング+高濃度ビタミン導入 | 13,200円 | |
| アクネスペシャルケア スキンケアレーザー |
初回トライアル | 29,700円 |
| 単品 | 34,100円 | |
| 3回コース | 95,700円 | |
| 4回コース | 123,200円 | |
| スキンケア指導 (施術を受けられる方のみ) | 無料 |
